
Non tutti sanno cosa sia l'artrosi, per questo, le persone si confondono nei metodi di trattamento e non comprendono i principi della diagnosi di patologia. L'artrosi è una grave violazione distrofica che provoca la lesione dei tessuti della cartilagine nella cavità intraarticolare. La complessità della terapia è associata all'irreversibilità dei processi, non è possibile ottenere una cura completa nel quadro della medicina moderna, ma la gravità dei sintomi può essere ridotta e la progressione della patologia può rallentare. Con un trattamento adeguato, una persona continua il solito stile di vita per lungo tempo.
Cos'è l'artrosi?
Allo stesso modo, è più semplice che per la malattia l'artrosi sia una malattia delle articolazioni che provoca la restrizione dell'ampiezza del movimento e del dolore. Nella prima fase del danno, non ci sono manifestazioni, hanno una leggera gravità e lavato via. A poco a poco, la patologia progredisce, ciò è facilitato da cambiamenti correlati all'età nel corpo, stress, lesioni, ecc. Secondo le statistiche, circa l'80% della popolazione di età superiore ai 60 anni dall'artrosi.
L'artrosi dell'articolazione si sviluppa a lungo, inizialmente colpisce solo la cartilagine ialina, quindi si diffonde alle ossa, coinvolge il guscio sinoviale, i muscoli e l'intera capsula dell'articolazione. Nella prima o precoce fase dell'artrosi, la lesione si manifesta leggermente: piccoli dolori dopo duro lavoro, gonfiore, arrossamento della pelle. A causa dell'ignoranza di sensazioni scomode, l'articolazione viene deformata, infiammata, porta grave dolore, il loro picco cade al mattino. La malattia è caratterizzata dalla scomparsa del dolore dopo lo sviluppo dell'articolazione. Se non trattata, una persona perde completamente la mobilità dell'articolazione.

Esiste una forma primaria e secondaria di artrosi. Anche la pseudo-artrosi (neoartrosi) si distingue, non molte persone sanno di cosa si tratta, poiché si forma meno spesso di altre varietà. La neoartrosi è un falso articolazione, quindi il tessuto della cartilagine aumenta in un luogo insolito in cui è stato ottenuto il danno. È difficile da trattare, principalmente chirurgicamente.
Esiste una patologia dovuta a disturbi della funzione rigenerativa, dell'immunità o del danno meccanico. A causa di varie cause di cartilagine, diventa più sottile. In condizioni normali, il tessuto della cartilagine riceve una nutrizione sufficiente per il recupero, ma dopo un eccessivo sforzo fisico o a causa di una violazione dei processi metabolici, i tessuti non hanno il tempo di rigenerarsi. Nella prima fase, la mobilità articolare rimane. Avendo considerato ciò che l'artrosi è una definizione, vale la pena approfondire in modo più dettagliato lo sviluppo della patologia.
Il meccanismo di sviluppo dell'artrosi, i suoi tipi
Molte varietà di artrosi si sviluppano secondo uno schema simile:
- La lesione primaria influisce sulla cartilagine ialina. In caso di disturbi circolatori, si verifica un deterioramento del potere patologico. È il primo passo o causa, che può verificarsi artrosi.
- Patologie di rivestimento ialina. Il diradamento della cartilagine porta alla sostituzione dei suoi tessuti patologici - strutture ossee.
- Le escrescenze anomali appaiono su cartilagine - osteofiti.
- La violazione della deriva dell'anatomia naturale della cartilagine e delle ossa provoca il sovraccarico di aree sane della cartilagine. La distruzione dei tessuti articolari senza trattamento è costantemente progredendo e porta alla disabilità.
Quando il grado di malattia aumenta, i processi patologici sono ancora aggravati. Alla fine, tutta la cartilagine ialina viene distrutta.
L'ultimo grado di malattia porta a:
- coinvolgimento nel processo patologico delle ossa, sotto e sopra le superfici cartilaginee;
- irritazione di un guscio articolare, limitando la mobilità, che porta a disabilità di 2 gradi;
- aumento della densità della capsula;
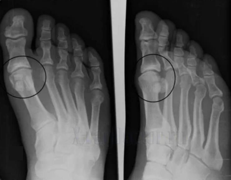
- Ridurre il divario nel divario dell'articolazione, che diventa evidente nella foto. Lo stadio della violazione è determinato dal diagnostico-Tantgenologo. Il paziente sente la complessità o l'incapacità di raddrizzare e piegare completamente l'arto;
- Deformazione articolare, la cartilagine acquisisce una forma irregolare, provocando curvatura;
- deterioramento delle condizioni del paziente con completa distruzione dell'articolazione.
Fase dell'artrosi
La malattia articolare ha 3 fasi di sviluppo:

- 1 grado. I disturbi morfologici sono già iniziati, ma non sono ancora evidenti. La patologia influisce principalmente sulla condizione del fluido sinoviale, che peggiora i tessuti della cartilagine con componenti nutrizionali, riducendo la forza della cartilagine. Il carico sulle articolazioni provoca infiammazione e dolore.
- Fase 2. A causa della carenza di approvvigionamento, le cartucce necessarie vengono distrutte, le escrescenze ossee si formano sulla superficie della cartilagine. I dolori acquisiscono un carattere più pronunciato, intensificati dopo un lungo riposo, vengono eliminati da un piccolo travaglio fisico. Il dolore è accompagnato da infiammazione. I muscoli sono allungati, il che porta a funzioni motorie con disabilità deboli o medie.
- 3 gradi. Spesso ci sono dolori, è difficile spostare l'arto a causa dei cambiamenti nell'articolazione. Le lesioni sono estese, diventano evidenti all'aspetto nudo. Si verifica la deformazione del sito articolare, l'area interessata si gonfia e diventa rossa. L'asse dell'arto è disturbato, il che porta alla complessità del movimento. I cambiamenti patologici provocano l'accorciamento dei legamenti. Compaiono subbluishi e contratture. I muscoli adiacenti sono abbreviati o allungati, da cui la funzione contrattile è indebolita.
Cause e fattori di rischio per lo sviluppo dell'artrosi
Le cause dell'artrosi delle articolazioni differiscono a seconda della forma di patologia. Deformando l'artrosi dell'articolazione del gomito, dell'articolazione della caviglia e dell'artrosi della spalla a volte si sviluppa senza cause evidenti, è possibile rilevarle con un medico, uno specialista in reumatologia. Se il problema non è stato preceduto da patologie visibili, la malattia è chiamata primaria. La forma secondaria di violazione è principalmente diagnosticata, può provocare vari stati.
I motivi principali dello sviluppo:
- Danno meccanico: lussazioni, fratture, allungamento, lesioni al menisco;
- un certo numero di disturbi endocrini associati a malfunzionamenti nel lavoro dell'immunità;
- patologie del metabolismo;
- displasia (anomalie congenite dei tessuti articolari);
- ha subito infiammazione delle articolazioni;
- Patologie che portano ad elevata mobilità delle articolazioni e indebolimento dei legamenti.
I pazienti con artrosi hanno spesso incontrato una malattia a causa di fattori predisponenti:
- cambiamenti correlati all'età;
- Peso leggero e aumento dell'IMC. Il carico elevato sul giunto porta a una rapida usura delle articolazioni;
- mancanza di sostanze benefiche;
- Carico eccessivo sui giunti. Il motivo è l'allenamento intenso, lo sport, il duro lavoro fisico;
- Condizioni di lavoro difficili o un approccio errato allo sport. Se esiste una storia di una tendenza genetica a danneggiare, lesioni articolari o malattie simili, è importante aderire a un programma di allenamento speciale, evitando esercizi traumatici e difficili;
- Il periodo postoperatorio di recupero o operazioni complesse trasmesse associate all'escissione di una grande parte dei tessuti interessati. Tali stati influenzano negativamente la morbidezza e la resistenza della cartilagine, il carico dovrebbe essere ridotto al minimo su di essi;
- tendenza genetica, l'artrosi è più spesso diagnosticata in pazienti che hanno parenti con la stessa patologia;
- La fase di postmenopausa, si verifica nelle donne per circa 50 anni, è associata a cambiamenti nel sistema endocrino;
- l'effetto distruttivo delle tossine;
- scarsa situazione ambientale nella regione di residenza;
- Danno frequente all'articolazione, a volte le microcrack non compaiono per lungo tempo;
- ipotermia;
- Patologia della parte lombare e cervicale della colonna vertebrale.
Artrosi primaria

L'artrosi primaria si forma in modo indipendente, cioè senza l'influenza di cause interne o esterne. La sconfitta si sviluppa attraverso la cartilagine ialina abbastanza lentamente. Raramente viene diagnosticato, rappresenta solo il 3-5% di tutti i casi.
Artrosi secondaria
L'artrosi secondaria viene spesso rilevata da un ordine del 95-96% dei casi. Sono provocati da una delle patologie di cui sopra.
Segni e sintomi dell'artrosi
Le manifestazioni della malattia differiscono poco a seconda della localizzazione, più spesso i segni si riflettono sulle ginocchia, sulle articolazioni della spalla e dell'anca, a causa dell'elevato carico.
Principalmente i reclami si riducono a:
- Dolore. Hanno una bassa gravità nella fase iniziale, con l'aggravamento dello stato di sensazione. Inizialmente, le articolazioni fanno male solo dopo aver svegliato, dopo una luce calda, le sensazioni scompaiono. Nel tempo, i dolori appaiono di notte, disturbano notevolmente durante e dopo la camminata prolungata, la corsa, ecc. All'ultima fase, la sindrome del dolore persegue una persona tutto il tempo;
- ampiezza limitata di movimenti. La rigidità delle azioni indica cambiamenti anatomici nella struttura. Inizialmente si manifesta al mattino, quindi i movimenti quotidiani sono limitati. Per non provocare aggravamento della condizione, il lavoro deve essere diverso e leggero, altrimenti il paziente non sarà in grado di sbloccare e spremere l'arto nel tempo. Nel tempo, esiste il rischio di contratti, da cui una persona perde la capacità motoria;
- Corona durante i movimenti: appartiene alle manifestazioni non specifiche dell'artrosi. La malattia è caratterizzata dal verificarsi di scricchiolio in una singola articolazione (ad eccezione della poliartrosi), accompagnata da un disagio, dolore e azioni limitate. La natura della corrente è simile a Wave - all'inizio si manifesta debolmente, gradualmente intensifica, ma in 3 fasi scompare;
- gonfiore con arrossamento. È localizzato vicino all'articolazione malata, questo indica un processo infiammatorio e una progressione della malattia. Il medico comprende che il guscio sinoviale è influenzato, ciò provoca l'accumulo di fluido e un aumento del dolore;
Deformazioni degli arti. Appare in una forma trascurata della malattia, indica la completa distruzione del tessuto della cartilagine e la comparsa degli osteofiti. In questo stato, la pressione sulle articolazioni sulla parte superiore e inferiore aumenta, da cui la curvatura può influire sull'intero arto.
È importante ricordare che la deformazione delle ossa sulla gamba è spesso confusa con il mais. Il sintomo è scarsamente pericoloso solo a prima vista, ma porta a gravi conseguenze.
Complicazioni
Inizialmente, i metodi conservativi di terapia vengono utilizzati per il trattamento. Se sono inefficaci o il paziente ha ignorato le raccomandazioni del medico, esiste un rischio di conseguenze.
Possibili complicazioni:
- L'articolazione è completamente distrutta;
- L'arto è immobilizzato, tutti i movimenti diventano estremamente difficili;
- ernie intervertebrali;
- disabilità;
- Forte deformazione dell'articolo o dell'intero arto.
Diagnosi di artrosi
Per fare una diagnosi, i reumatologi studiano le lamentele del paziente e prescrivono un esame di raggi X. Molto spesso, la radiografia viene utilizzata in 2 proiezioni. Il medico esamina la presenza di disturbi distrofici nella cartilagine ialina e nelle articolazioni ossee. Se il divario articolare è ridotto, le ossa vengono deformate o appiattite, ci sono formazioni cistiche sulla superficie della cartilagine, gli osteofiti sono evidenti segni di artrosi. Durante l'ispezione, l'artrosi indica l'instabilità dell'articolazione: l'asse degli arti e la sublussazione è disturbato.

Spesso un'immagine a raggi X non è in grado di fornire informazioni complete sulla condizione del giunto. Per uno studio più approfondito, è prescritta la tomografia computerizzata, è efficace per esaminare le ossa. La risonanza magnetica è più spesso usata per studiare i tessuti molli.
Durante la diagnosi, viene praticato il coinvolgimento di altri specialisti che aiuteranno a determinare la causa principale della patologia. Spesso ricorrono alla consultazione di un ematologo, endocrinologo, ginecologo, ortopedico.
Trattamento moderno
Ci sono centinaia di modi di terapia con artrosi, ma si riducono tutti a una serie di metodi:
- Trattamento farmacologico. Il compito principale è combattere i sintomi e prevenire un ulteriore sviluppo di una violazione. Molto spesso, gli analgesici sono usati per alleviare il dolore, i farmaci anti -infiammatori non sterici per combattere l'infiammazione, sono prescritti farmaci ormonali per un forte dolore e infiammazione acuta. Ogni corso si basa su condroprotettori che proteggono i tessuti della cartilagine dalla distruzione, vengono utilizzate sostanze naturali per la loro produzione;
- fisioterapia. Migliora l'efficacia delle droghe, le lotte con l'infiammazione, allevia i sintomi, accelera la rigenerazione dei tessuti. Più spesso usato terapia laser ad ultrasuoni, elettrici, magnetici. Ciò include anche bagni di fango, applicazioni con materiali naturali, bagni di radon;
- Educazione fisica medica. È utile sia come prevenzione che come facilitare la condizione. Dopo gli esercizi fisici corretti, è possibile eliminare completamente il dolore. È utile visitare la piscina, impegnarsi nello yoga e spesso camminare;
- La terapia manuale, il massaggio aiuterà nel trattamento della malattia, poiché contribuiscono alla prevenzione della curvatura delle articolazioni. Dopo le lesioni, il terapista manuale è in grado di livellare l'articolazione, impedendo la sua fissazione nella posizione sbagliata. Dopo il massaggio, il tono muscolare è migliorato, la circolazione sanguigna è accelerata;
- Nutrizione adeguata. Una dieta sana aiuterà ad arricchire il corpo con i nutrienti per la cartilagine e ridurre il peso corporeo. Una grande massa aumenta l'usura delle articolazioni;
- Il trattamento con sanatorium-resort rafforzerà le articolazioni. Nel quadro della guarigione, i sanatori sono offerti balneterapia, terapia di esercizio, procedure fisioterapiche, ecc.;
- Terapia non tradizionale. Per il trattamento dell'artrosi, delle capanne, della medicina naturale, di erbe, nonché dell'agopuntura e di varie ricette popolari;
- L'intervento chirurgico è l'unico modo per tornare alla solita vita nella terza fase della malattia. L'endoprotetica consente di sostituire la cartilagine del paziente con l'impianto. L'unico inconveniente dell'operazione è il costo elevato. Una procedura è sufficiente per 15-20 anni.
Misure preventive
In modo che l'artrosi dell'articolazione non si distingua nella vecchiaia:
- mantenere uno stile di vita sano;
- impedire carichi forti;
- osservare una dieta;
- escludere cattive abitudini;
- Eseguire la ginnastica ogni giorno;
- Segui il peso.
L'artrosi è una malattia pericolosa che è molto più facile da prevenire che curare. Con la ricerca tempestiva di un medico e il rispetto delle regole del trattamento, il paziente sarà in grado di mantenere uno stile di vita familiare per molto tempo. La mancanza di terapia e auto -mediazione provoca il rapido aggravamento della malattia e, in definitiva, la disabilità.























